Navicular (Tarsal) Fracture

Return to Main Menu

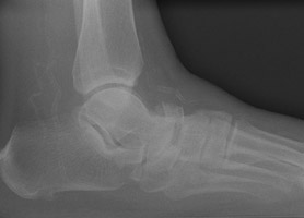
Isolated tarsal bone fractures are rare. They are generally due to direct trauma or may be of the stress variety (Kohler's disease).
 - Click on the image for a larger versionALateral radiograph of the foot. There is a mildly displaced fracture of the navicular.

Links to online textbooks

References:


Google
 
Web Gentili.net

©Gentili.net 1998-2006