Calcaneus Fracture

Return to Main Menu

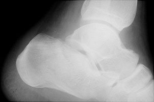
Calcaneal fractures are not unusual. A "lover's" fracture is a common calcaneal fracture, resulting from an axial load type of injury (falling). Radiographically, there is a decrease in Boehler's angle to less than 20 %. Moreover, 75 % of these fractures involve the subtalar joint and 10 % are bilateral. Associated fractures with the same axial load mechanism include burst fractures of the spine ("Don Juan" fracture) and pilon fractures of the distal tibia.
 - Click on the image for a larger versionAHarris radiograph. There is a comminuted fracture of the calcaneus.
 - Click on the image for a larger versionBLateral radiograph of the ankle. This shows flattening of Boehler's angle and sclerosis through the calcaneus.
 - Click on the image for a larger versionCAxial CT. This image of both feet shows a calcaneal fracture. The normal size is included for comparison.
 - Click on the image for a larger versionDAxial CT. This image better demonstrates the comminuted calcaneal fracture.
 - Click on the image for a larger versionELateral radiograph of the ankle. There is a hatchet injury to the calcaneus.
 - Click on the image for a larger versionFAxial CT. This image demonstrates bilateral calcaneal fractures, due to a fall.

Links to online textbooks

References:


Google
 
Web Gentili.net

©Gentili.net 1998-2006