Scaphoid Fracture

Return to Main Menu

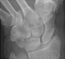
Scaphoid fractures are the most common carpal fractures, resulting from a fall on an outstretched hand. 70 % of these occur at the waist, 20 % at the proximal pole, and 10 % at the distal pole. Blood supply for the proximal pole enters at the waist. If this blood supply is interrupted due to fracture, the proximal pole is at risk for avascular necrosis. Special scaphoid views with the hand in ulnar deviation may be needed to detect these fractures.
 - Click on the image for a larger versionAPA radiograph of the wrist with scaphoid deviation. This view shows a fracture of the waist of the scaphoid bone.
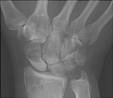
 - Click on the image for a larger versionBPA radiograph of the wrist. This demonstrates a scaphoid waist fracture.
 - Click on the image for a larger versionCPA radiograph of the wrist. Another patient shows the proximal pole to be dense and has undergone avascular necrosis. This is a known complication of waist fractures.

Links to online textbooks

References:


Google
 
Web Gentili.net

©Gentili.net 1998-2006