Sacral Fracture

Return to Main Menu

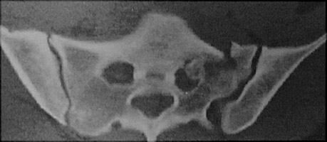
Sacral fractures occur commonly with other pelvic fractures as the result of major trauma. Transverse fractures (through the ala or arcades) result from directly applied forces to the sacrum. Vertical fractures occur as part of complex pelvic fractures. Stress fractures are usually vertical and near the sacroiliac joint. MRI or bone scan are useful to detect stress fractures. Sacral fractures can be quite subtle and are easily missed.
 - Click on the image for a larger versionAAxial CT. This shows a comminuted fracture of the left side of the sacrum.

Links to online textbooks

References:


Google
 
Web Gentili.net

©Gentili.net 1998-2006