Medial Malleolus Fracture | |
Medial malleolus injuries to the ankle result from eversion forces. Depending on the direction and strength, forces may result in sprain or rupture of the deltoid ligament or fracture of the medial malleolus. These fractures are usually treated operatively. Force directed obliquely may result in a bimalleolar fracture.
A | Mortise view of the ankle. This demonstrates a minimally displaced fracture of the medial malleolus of the distal tibia. |
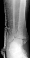
B | AP radiograph of the ankle. A bimalleolar fracture is present. |
Links to online textbooks:
Links to online cases:
References: