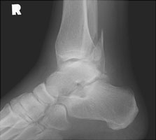
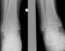
Weber C Fracture |
The Weber classification is used to determine the severity of tibiofibular ligament injury by the level of fibular fracture. The Weber C fracture consists of a proximal fracture of the fibula and a transverse fracture of the medial malleolus (or an intact malleolus and a ruptured deltoid ligament). This results in complete disruption of the tibiofibular ligament complex and is from pronation-lateral rotation injury.