Turf Toe Injury |
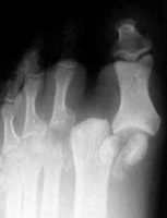
The "turf toe" is the result of a hyperextension injury (such as with soccer or football). This results in avulsion of the capsule and a small fragment of bone from the first metatarsal phalangeal joint. There is also dislocation of the first metatarsal phalangeal joint.
A | AP radiograph of the foot. Image courtesy of Wheeless' Orthopedics. The typical appearance of the turf toe injury. |