Tillaux Fracture

Return to Main Menu

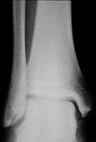
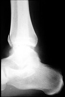
The tillaux fracture consists of avulsion of the anterior lateral margin of the distal tibia. It is caused by a twisting injury. The anterior tibiofibular ligament avulses a small portion of the tibia.
 - Click on the image for a larger versionALateral radiograph of the ankle. This reveals a fracture of the anterolateral aspect of the tibia.
 - Click on the image for a larger versionBAP radiograph of the ankle. The fracture is not well seen on this radiograph.

Links to online textbooks:

Links to online cases:

References: