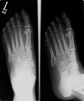
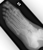
Metatarsal fractures are usually due to direct trauma. Often they are part of the Lisfranc fracture-dislocation spectrum.