Weber A Fracture

Return to Main Menu

Weber A fractures consist of fibular fractures distal to the level of the tibiotalar joint. These fractures are generally treated nonoperatively. The syndesmosis between the tibia and fibula remains intact. The fracture results from supination-adduction injuries. The medial malleolus may be fractured or the deltoid ligament may be disrupted.
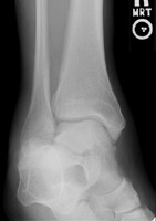
 - Click on the image for a larger versionAAP radiograph of the ankle. This shows a comminuted minimally displaced fracture of the distal fibula, Weber A in classification.
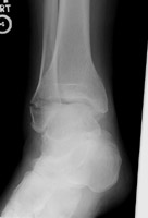
 - Click on the image for a larger versionBMortise radiograph of the ankle. The fracture is difficult to visualize.

Links to online textbooks:

Links to online cases: