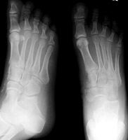
Cuneiform fractrures generally occur in conjunction with other fractures of the midfoot. In particular, the LisFranc dislocation is often associated with cuneiform fractures.
A
AP and oblique radiographs of the foot. A car ran over the foor of this patient. There is a comminuted fracture of the medial cuneiform bone along with fractures of the navicular and first metatarsal.