KNEE MRI STIR
Home Up Knee Shoulder Hip Elbow References - Index

 

 

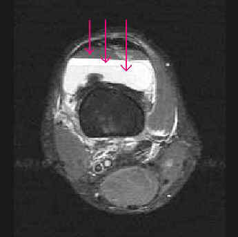
This axial STIR image demonstrates only three layers of the lipohemarthrosis. The most superior layer is fat, low in signal intensity due to the fat suppression technique. However, the separation between serum and dependant cellular components is best demonstrated on this sequence.

 
bulletGO TO PROTON DENSITY IMAGE
bulletGO TO GRADIENT ECHO IMAGE
bulletRETURN TO MAIN KNEE MRI MENU
 

Back

Google
 
Web Gentili.net

The FBI Sign: CT, MRI, and Radiographic Appearance of Lipohemarthrosis
Copyright © 2000-2006 S.M. Sorenson, K. Wolfson, A. Gentili, S. Masih, L.L. Seeger. All rights reserved.