KNEE - LATERAL RADIOGRAPH
Home Up Knee Shoulder Hip Elbow References - Index

 

 

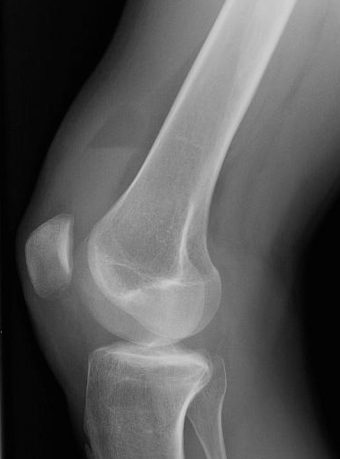
This standing lateral view of the right knee demonstrates the distension of the suprapatellar recess by a lipohemarthrosis.

 
bulletGO TO AP RADIOGRAPH
bulletGO TO SUNRISE RADIOGRAPH
bulletGO TO OBLIQUE RADIOGRAPH
bulletRETURN TO MAIN KNEE RADIOGRAPHY MENU
 

Back Next

Google
 
Web Gentili.net

The FBI Sign: CT, MRI, and Radiographic Appearance of Lipohemarthrosis
Copyright © 2000-2006 S.M. Sorenson, K. Wolfson, A. Gentili, S. Masih, L.L. Seeger. All rights reserved.