FAT PAD SIGN
Home Up Knee Shoulder Hip References - Index

 

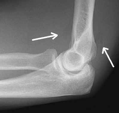
This lateral radiograph of the elbow demonstrates the presence of displaced anterior and posterior fat pads. This is abnormal and due to an undisplaced radial head fracture. There is no evidence of lipohemarthrosis.

 
bulletCOMPARE TO A TRUE LIPOHEMARTHROSIS OF THE ELBOW
bulletGO TO MAIN ELBOW MENU
 

Back Next

Google
 
Web Gentili.net

The FBI Sign: CT, MRI, and Radiographic Appearance of Lipohemarthrosis
Copyright © 2000-2006 S.M. Sorenson, K. Wolfson, A. Gentili, S. Masih, L.L. Seeger. All rights reserved.